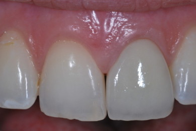
Einzelne Frontzahnkrone:
Vorher: Falsche Farbe, hässlicher Kronenrand, Zahnfleisch entzündet
Ergebnis: Der Nachbarzahn hat eine Kunststofffüllung an der Ecke erhalten, die neue Krone fügt sich harmonisch ein, das Zahnfleisch ist wieder gesund
Öffnungszeiten:
Montag:
8 - 12 und 15 - 19 Uhr
Dienstag
Mittwoch
8 - 13 Uhr
Donnerstag
8 - 12 und 15 - 19Uhr
Freitag
Bitte beachten Sie, dass wir eine
reine Bestellpraxis
sind und vereinbaren Sie bitte bereits unbedingt im Vorfeld einen Termin per Telefon, damit Ihre Wartezeit möglichst kurz ist.